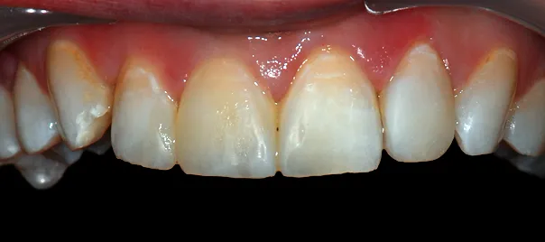
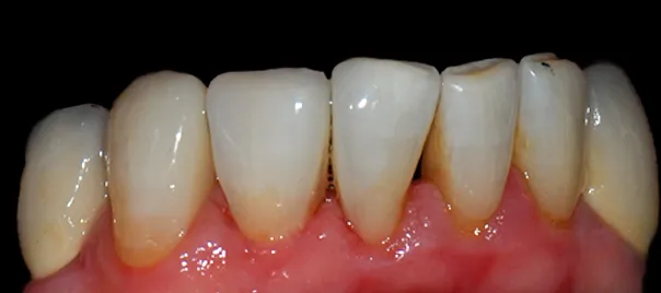
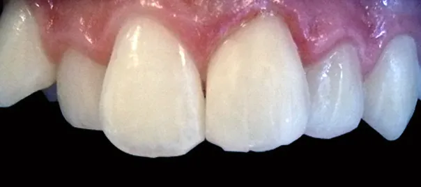
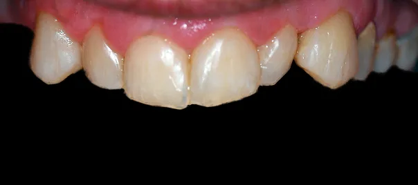
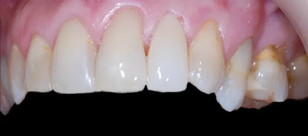
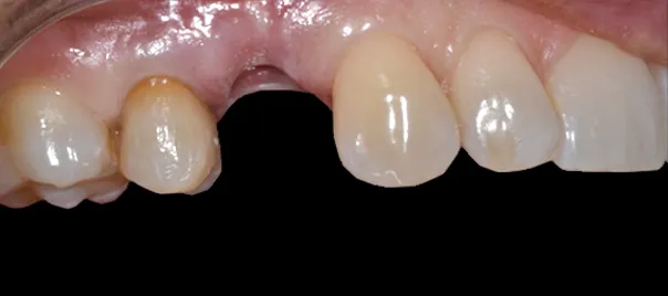
Niezależnie od tego, z jakim problemem się zmagasz, naszym celem jest sprawić, by Twoje zęby i uśmiech olśniewały. Świadczymy usługi z zakresu: stomatologii zachowawczej, endodoncji, ortodoncji, implantologii, chirurgii, protetyki i periodontologii.
W gabinetach Stomatologii Wichlińscy w Krakowie i Gorlicach dysponujemy najbardziej zaawansowanym sprzętem, który pozwala na najlepszą diagnostykę, a profesjonalny i doświadczony zespół stomatologów dokonuje widocznych zmian.

































